Trẻ bị amidan quá phát là một vấn đề phổ biến ở trẻ em, đặc biệt là trong những năm đầu đời. Khi amidan phát triển quá mức, nó có thể gây ra nhiều triệu chứng khó chịu như viêm họng, ho, khó thở, và ảnh hưởng đến giấc ngủ của trẻ. Tình trạng này không chỉ khiến trẻ gặp khó khăn trong việc ăn uống, mà còn có thể gây ra những biến chứng nghiêm trọng nếu không được điều trị kịp thời. Do đó, việc nhận diện sớm và áp dụng các phương pháp điều trị phù hợp là rất quan trọng để giúp trẻ phục hồi nhanh chóng và ngăn ngừa các vấn đề sức khỏe lâu dài.

Định nghĩa trẻ bị amidan quá phát

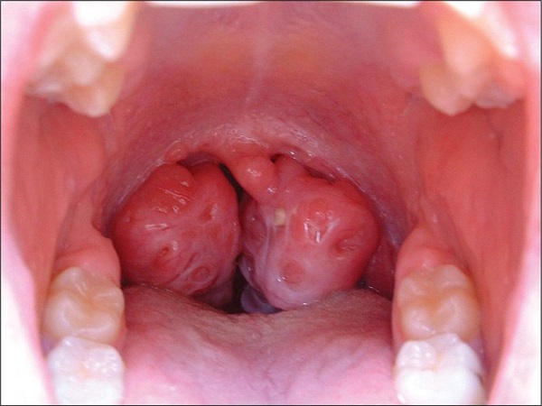
Trẻ bị amidan quá phát là tình trạng amidan, một bộ phận trong hệ thống miễn dịch của cơ thể, phát triển vượt mức bình thường. Amidan có vai trò quan trọng trong việc ngăn chặn vi khuẩn và vi rút xâm nhập vào cơ thể qua đường hô hấp. Tuy nhiên, khi amidan phát triển quá mức, nó có thể gây ra nhiều vấn đề sức khỏe, đặc biệt là đối với trẻ em. Khi amidan quá phát, trẻ có thể gặp phải các triệu chứng như viêm họng, ho, và thậm chí là khó thở do việc tắc nghẽn đường thở.

Tình trạng này thường xuất hiện sau khi trẻ mắc các bệnh về viêm họng hoặc viêm amidan kéo dài, khiến amidan không kịp phục hồi về kích thước bình thường. Ngoài ra, amidan quá phát còn có thể dẫn đến các vấn đề liên quan đến giấc ngủ, ví dụ như ngưng thở khi ngủ (sleep apnea), gây ra mệt mỏi, giảm khả năng tập trung và học tập cho trẻ.

Triệu chứng trẻ bị amidan quá phát

Khi trẻ bị amidan quá phát, các triệu chứng có thể xuất hiện rõ ràng và gây ảnh hưởng lớn đến sức khỏe của trẻ. Dưới đây là các triệu chứng phổ biến của tình trạng này:

  • Khó thở khi ngủ: Trẻ có thể thở khò khè hoặc ngưng thở trong khi ngủ, dẫn đến giấc ngủ không sâu và không thoải mái.
  • Đau họng và ho: Trẻ có thể bị viêm họng thường xuyên, kèm theo ho khan hoặc ho có đờm, gây khó chịu và mệt mỏi.
  • Khó nuốt: Khi amidan quá phát, việc nuốt thức ăn hoặc nước có thể trở nên khó khăn, khiến trẻ dễ bị sụt cân hoặc không ăn uống đầy đủ.
  • Viêm amidan tái phát: Trẻ có thể gặp phải tình trạng viêm amidan nhiều lần, với các đợt viêm cấp tính hoặc mãn tính, dẫn đến viêm họng kéo dài.
  • Ngáy khi ngủ: Trẻ bị amidan quá phát có thể ngáy khi ngủ do tắc nghẽn đường thở, làm giảm chất lượng giấc ngủ.
  • Mệt mỏi và cáu kỉnh: Vì giấc ngủ không sâu, trẻ có thể cảm thấy mệt mỏi, cáu kỉnh hoặc thiếu năng lượng trong suốt cả ngày.

Nếu các triệu chứng này kéo dài hoặc trở nên nghiêm trọng, việc thăm khám bác sĩ chuyên khoa là rất quan trọng để đưa ra phác đồ điều trị phù hợp, giúp trẻ sớm hồi phục và tránh các biến chứng về sau.

Nguyên nhân trẻ bị amidan quá phát

Tình trạng trẻ bị amidan quá phát có thể do nhiều nguyên nhân khác nhau. Dưới đây là một số nguyên nhân chính khiến amidan của trẻ phát triển quá mức:

  • Nhiễm trùng tái phát: Việc trẻ bị nhiễm trùng đường hô hấp thường xuyên, đặc biệt là viêm họng hoặc viêm amidan, là nguyên nhân phổ biến dẫn đến amidan quá phát. Khi cơ thể phải chiến đấu với vi khuẩn hoặc vi rút, amidan sẽ sưng lên để chống lại các tác nhân gây bệnh, nhưng nếu tình trạng nhiễm trùng tái diễn, amidan có thể không trở lại kích thước bình thường.
  • Di truyền: Nếu trong gia đình có người từng gặp tình trạng amidan quá phát, trẻ cũng có nguy cơ cao mắc phải tình trạng này. Di truyền có thể đóng vai trò quan trọng trong việc quyết định kích thước của amidan.
  • Môi trường ô nhiễm: Trẻ sống trong môi trường có nhiều khói bụi, ô nhiễm không khí hoặc tiếp xúc với các chất gây dị ứng dễ dẫn đến viêm amidan và làm tăng nguy cơ phát triển quá mức.
  • Hệ miễn dịch yếu: Trẻ có hệ miễn dịch yếu hoặc bị các bệnh lý liên quan đến miễn dịch có thể dễ dàng bị nhiễm trùng, dẫn đến viêm amidan và tình trạng amidan quá phát.
  • Chế độ ăn uống thiếu dinh dưỡng: Trẻ thiếu vitamin và khoáng chất thiết yếu, đặc biệt là vitamin A, C, E có thể làm suy yếu khả năng chống lại vi khuẩn và vi rút, khiến amidan dễ bị viêm và phì đại.

Đối tượng trẻ bị amidan quá phát

Mặc dù bất kỳ trẻ em nào cũng có thể bị amidan quá phát, nhưng một số đối tượng có nguy cơ cao mắc phải tình trạng này. Các đối tượng cần đặc biệt lưu ý bao gồm:

  • Trẻ em trong độ tuổi từ 2 đến 6 tuổi: Đây là độ tuổi trẻ thường xuyên gặp phải các bệnh nhiễm trùng đường hô hấp, do hệ miễn dịch của trẻ chưa hoàn thiện và dễ bị tác động bởi vi khuẩn, vi rút.
  • Trẻ có tiền sử viêm amidan: Những trẻ đã từng bị viêm amidan nhiều lần có nguy cơ cao phát triển amidan quá phát, vì tình trạng viêm kéo dài có thể khiến amidan không trở lại kích thước bình thường.
  • Trẻ sống trong môi trường ô nhiễm: Trẻ em sống trong môi trường có không khí ô nhiễm hoặc tiếp xúc với các yếu tố gây dị ứng như phấn hoa, khói thuốc lá sẽ dễ bị viêm amidan và dẫn đến tình trạng phì đại.
  • Trẻ có sức đề kháng yếu: Trẻ bị suy dinh dưỡng, mắc các bệnh lý ảnh hưởng đến hệ miễn dịch, như bệnh lý tiểu đường, suy giảm miễn dịch, sẽ dễ mắc các bệnh nhiễm trùng, bao gồm viêm amidan.
  • Trẻ có các vấn đề về đường hô hấp trên: Trẻ em mắc các bệnh về mũi, họng hoặc xoang có thể dễ dàng bị viêm amidan tái phát, gây ra tình trạng amidan quá phát.

Biến chứng trẻ bị amidan quá phát

Trẻ bị amidan quá phát nếu không được điều trị kịp thời có thể gặp phải một số biến chứng nghiêm trọng. Những biến chứng này có thể ảnh hưởng lâu dài đến sức khỏe và sự phát triển của trẻ. Dưới đây là những biến chứng thường gặp khi tình trạng này không được xử lý đúng cách:

  • Ngưng thở khi ngủ: Khi amidan quá phát, chúng có thể gây tắc nghẽn đường thở, khiến trẻ ngưng thở trong khi ngủ. Điều này có thể dẫn đến giấc ngủ không sâu, làm giảm chất lượng giấc ngủ và ảnh hưởng đến sức khỏe tổng thể của trẻ.
  • Viêm xoang mãn tính: Viêm amidan kéo dài có thể dẫn đến viêm xoang, khi các tuyến xoang bị tắc nghẽn và gây khó thở, đau nhức vùng mặt và đầu.
  • Vấn đề về thính giác: Amidan quá phát có thể gây tắc nghẽn ống Eustachian, dẫn đến các vấn đề về tai như viêm tai giữa, ảnh hưởng đến khả năng nghe của trẻ.
  • Mất ngủ kéo dài: Khi amidan quá phát gây ra ngưng thở khi ngủ, trẻ sẽ gặp phải các triệu chứng như mệt mỏi, cáu kỉnh và thiếu tập trung, làm ảnh hưởng đến sự phát triển thể chất và tinh thần.
  • Dễ bị viêm nhiễm đường hô hấp: Amidan quá phát dễ bị viêm nhiễm, làm giảm khả năng phòng vệ của cơ thể đối với các vi khuẩn, vi rút gây bệnh. Điều này khiến trẻ dễ mắc các bệnh về đường hô hấp như viêm phổi, viêm họng tái phát.

Chẩn đoán trẻ bị amidan quá phát

Việc chẩn đoán chính xác tình trạng trẻ bị amidan quá phát rất quan trọng để đưa ra phương pháp điều trị hiệu quả. Dưới đây là các bước chẩn đoán mà bác sĩ thường thực hiện khi nghi ngờ trẻ bị amidan quá phát:

  • Khám lâm sàng: Bác sĩ sẽ kiểm tra và đánh giá kích thước của amidan thông qua việc thăm khám họng. Nếu amidan sưng to và có dấu hiệu viêm, bác sĩ có thể xác định tình trạng amidan quá phát.
  • Xét nghiệm máu: Để xác định có sự hiện diện của nhiễm trùng hoặc viêm nhiễm mãn tính, bác sĩ có thể yêu cầu xét nghiệm máu. Điều này giúp phát hiện các dấu hiệu viêm nhiễm trong cơ thể.
  • Chụp X-quang: Trong một số trường hợp, bác sĩ có thể yêu cầu chụp X-quang để kiểm tra sự phát triển của amidan và xác định mức độ tắc nghẽn đường thở do amidan quá phát.
  • Nội soi họng: Nếu cần thiết, bác sĩ có thể tiến hành nội soi họng để quan sát chi tiết hơn về tình trạng amidan và mức độ viêm hoặc sưng của chúng.
  • Đánh giá giấc ngủ: Nếu trẻ có các triệu chứng ngưng thở khi ngủ, bác sĩ có thể yêu cầu thực hiện các xét nghiệm theo dõi giấc ngủ để đánh giá mức độ ảnh hưởng của amidan quá phát đối với giấc ngủ của trẻ.

Khi nào cần gặp bác sĩ khi trẻ bị amidan quá phát

Nếu trẻ bị amidan quá phát, cha mẹ cần lưu ý và đưa trẻ đi khám bác sĩ khi xuất hiện các dấu hiệu sau. Việc gặp bác sĩ kịp thời sẽ giúp điều trị hiệu quả và ngăn ngừa các biến chứng nghiêm trọng:

  • Trẻ gặp khó khăn trong việc thở hoặc ngáy nhiều khi ngủ: Nếu trẻ thở khò khè hoặc có tiếng ngáy lớn khi ngủ, điều này có thể là dấu hiệu của sự tắc nghẽn đường thở do amidan quá phát.
  • Trẻ bị đau họng kéo dài hoặc thường xuyên bị viêm amidan: Khi amidan bị viêm hoặc sưng kéo dài, trẻ có thể gặp phải tình trạng đau họng dai dẳng và khó chịu, điều này cần được bác sĩ đánh giá và điều trị.
  • Khó nuốt hoặc chán ăn: Nếu trẻ gặp khó khăn trong việc nuốt thức ăn hoặc có biểu hiện không muốn ăn uống do đau họng, đó là lúc cần phải thăm khám bác sĩ để tìm ra nguyên nhân.
  • Trẻ có dấu hiệu ngừng thở khi ngủ hoặc mệt mỏi suốt cả ngày: Nếu trẻ liên tục cảm thấy mệt mỏi, cáu kỉnh, hoặc không tập trung vào các hoạt động trong ngày do chất lượng giấc ngủ kém, bác sĩ cần can thiệp để xác định nguyên nhân.
  • Viêm tai hoặc khó nghe: Nếu trẻ có dấu hiệu viêm tai giữa hoặc khó nghe, đó có thể là do amidan quá phát gây tắc nghẽn ống Eustachian, và cần sự can thiệp của bác sĩ để điều trị.

Phòng ngừa trẻ bị amidan quá phát

Phòng ngừa trẻ bị amidan quá phát là một cách hiệu quả để giảm nguy cơ mắc phải tình trạng này và bảo vệ sức khỏe của trẻ. Dưới đây là một số biện pháp phòng ngừa hữu ích:

  • Giữ vệ sinh cá nhân cho trẻ: Rửa tay thường xuyên là cách đơn giản nhưng hiệu quả để ngăn ngừa các bệnh nhiễm trùng, đặc biệt là các bệnh về đường hô hấp có thể dẫn đến viêm amidan.
  • Tăng cường hệ miễn dịch: Cung cấp cho trẻ một chế độ dinh dưỡng đầy đủ, bao gồm các vitamin và khoáng chất thiết yếu như vitamin C, A, D, và E để giúp tăng cường khả năng chống lại các vi khuẩn, vi rút gây bệnh.
  • Giữ trẻ tránh xa môi trường ô nhiễm: Hạn chế cho trẻ tiếp xúc với môi trường có không khí ô nhiễm hoặc khói thuốc lá, vì đây là những yếu tố làm suy yếu hệ miễn dịch và dễ gây viêm nhiễm đường hô hấp.
  • Điều trị viêm họng kịp thời: Khi trẻ bị viêm họng hoặc viêm amidan, cần điều trị triệt để và đúng cách để tránh tình trạng tái phát hoặc viêm mãn tính, giúp ngăn ngừa amidan phát triển quá mức.
  • Khám sức khỏe định kỳ: Đưa trẻ đi khám bác sĩ định kỳ để theo dõi tình trạng sức khỏe của trẻ, đặc biệt là đối với những trẻ có nguy cơ cao bị amidan quá phát hoặc viêm amidan tái phát.

Phương pháp điều trị trẻ bị amidan quá phát

Khi trẻ bị amidan quá phát, việc điều trị kịp thời và đúng cách là rất quan trọng để ngăn ngừa các biến chứng và cải thiện chất lượng cuộc sống cho trẻ. Tùy theo mức độ nghiêm trọng của tình trạng và độ tuổi của trẻ, có thể áp dụng nhiều phương pháp điều trị khác nhau, bao gồm cả thuốc Tây y, biện pháp không dùng thuốc và phương pháp y học cổ truyền.

Điều trị bằng thuốc

Điều trị bằng thuốc là một trong những phương pháp phổ biến để giúp giảm sưng viêm và cải thiện các triệu chứng của trẻ bị amidan quá phát. Các loại thuốc Tây y có thể bao gồm thuốc kháng sinh, thuốc giảm đau, thuốc chống viêm và các loại thuốc hỗ trợ khác. Dưới đây là một số loại thuốc thường được sử dụng:

  • Kháng sinh: Nếu amidan quá phát do vi khuẩn gây ra, bác sĩ có thể chỉ định một số loại kháng sinh như Amoxicillin hoặc Cephalexin để điều trị nhiễm trùng. Thuốc kháng sinh giúp tiêu diệt vi khuẩn gây viêm, giảm sưng và ngăn ngừa tình trạng viêm nhiễm lan rộng.
  • Thuốc giảm đau và hạ sốt: Để giảm đau và giảm sốt do viêm amidan, các bác sĩ thường kê đơn các thuốc như Paracetamol (acetaminophen) hoặc Ibuprofen. Các thuốc này giúp giảm đau họng, hạ sốt và mang lại cảm giác dễ chịu cho trẻ.
  • Thuốc chống viêm: Đối với các trường hợp viêm amidan mãn tính hoặc sưng amidan kéo dài, bác sĩ có thể chỉ định các thuốc chống viêm không steroid (NSAIDs) như Diclofenac hoặc Naproxen để giảm viêm và đau nhức.
  • Thuốc xịt họng: Một số loại thuốc xịt họng chứa các thành phần kháng viêm hoặc sát khuẩn, giúp làm giảm tình trạng viêm sưng tại amidan. Ví dụ, thuốc xịt chứa Benzocaine hoặc Chlorhexidine có thể giúp làm dịu các triệu chứng của viêm họng.

Điều trị bằng thuốc Tây y có thể giúp trẻ giảm triệu chứng nhanh chóng, nhưng việc lạm dụng thuốc hoặc dùng thuốc không đúng cách có thể gây ra tác dụng phụ. Do đó, cha mẹ cần tuân thủ chỉ định của bác sĩ khi sử dụng thuốc cho trẻ.

Điều trị không dùng thuốc

Ngoài việc sử dụng thuốc, có một số phương pháp điều trị không dùng thuốc có thể giúp giảm các triệu chứng và hỗ trợ điều trị trẻ bị amidan quá phát:

  • Súc miệng bằng nước muối: Nước muối ấm có thể giúp làm dịu cơn đau họng và giảm tình trạng viêm tại amidan. Cha mẹ có thể hướng dẫn trẻ súc miệng với nước muối ít nhất một vài lần mỗi ngày để giúp giảm sưng viêm và làm sạch các vi khuẩn trong miệng.
  • Chế độ ăn uống hợp lý: Khi trẻ bị amidan quá phát, chế độ ăn uống rất quan trọng. Cha mẹ nên đảm bảo cho trẻ ăn các thực phẩm mềm, dễ nuốt và uống nhiều nước để tránh làm tổn thương amidan đang sưng viêm. Các thực phẩm giàu vitamin C như cam, chanh, hoặc thực phẩm giàu kẽm giúp tăng cường sức đề kháng cho cơ thể.
  • Nghỉ ngơi đầy đủ: Việc nghỉ ngơi là vô cùng quan trọng trong quá trình điều trị. Trẻ cần ngủ đủ giấc và tránh các hoạt động gắng sức để cơ thể có thể phục hồi nhanh chóng.
  • Giữ ấm cơ thể: Trẻ cần được giữ ấm, đặc biệt là cổ và họng, để giúp giảm tình trạng viêm và sưng tấy. Tuy nhiên, cần tránh để trẻ tiếp xúc với gió lạnh hoặc thay đổi nhiệt độ đột ngột.

Các biện pháp không dùng thuốc này có thể được kết hợp cùng với điều trị bằng thuốc để mang lại hiệu quả tốt nhất cho trẻ.

Điều trị bằng y học cổ truyền

Y học cổ truyền cũng cung cấp một số phương pháp điều trị hiệu quả cho trẻ bị amidan quá phát, đặc biệt là những trường hợp có dấu hiệu viêm nhiễm mãn tính hoặc thường xuyên tái phát. Các phương pháp này chủ yếu tập trung vào việc cân bằng nội tiết, tăng cường hệ miễn dịch và làm giảm viêm sưng.

  • Sử dụng thảo dược: Một số thảo dược có tính kháng viêm và kháng khuẩn có thể hỗ trợ điều trị amidan quá phát. Ví dụ, trà gừng mật ong hoặc nước ép tỏi có thể giúp làm dịu cơn đau họng, giảm viêm và hỗ trợ hệ miễn dịch. Các thảo dược như cam thảo, bạch chỉ, và cúc hoa cũng thường được sử dụng trong các bài thuốc cổ truyền để điều trị viêm amidan.
  • Châm cứu và xoa bóp: Một số liệu pháp châm cứu hoặc xoa bóp nhẹ nhàng tại các huyệt đạo có thể giúp giảm đau, giảm sưng và tăng cường tuần hoàn máu. Phương pháp này giúp thư giãn cơ thể và giảm cảm giác khó chịu cho trẻ.
  • Mát xa và xông hơi: Việc xông hơi bằng các loại thảo dược có tính ấm như kinh giới, bạc hà, hoặc lá tía tô có thể giúp làm thông thoáng đường hô hấp, giảm nghẹt mũi và cải thiện tình trạng viêm amidan.

Các phương pháp y học cổ truyền thường được sử dụng kết hợp với phương pháp điều trị hiện đại, giúp tăng cường hiệu quả điều trị và giảm thiểu tác dụng phụ của thuốc Tây y.

Trẻ bị amidan quá phát là một tình trạng phổ biến và có thể gây ra nhiều triệu chứng khó chịu cho trẻ. Tuy nhiên, với phương pháp điều trị phù hợp từ thuốc Tây y, các biện pháp không dùng thuốc và y học cổ truyền, tình trạng này hoàn toàn có thể được kiểm soát và điều trị hiệu quả. Chẩn đoán và điều trị kịp thời sẽ giúp trẻ phục hồi nhanh chóng và tránh được các biến chứng lâu dài.

Bài viết liên quan
Messenger zalo