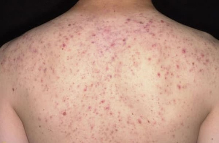
Mụn trứng cá ở lưng là một vấn đề phổ biến nhưng lại ít được chú ý, mặc dù có thể ảnh hưởng nghiêm trọng đến thẩm mỹ và gây khó chịu. Tình trạng này thường xuất hiện do sự tắc nghẽn lỗ chân lông, kết hợp với dầu thừa và vi khuẩn, khiến da bị viêm và hình thành các nốt mụn. Mặc dù mụn trứng cá xuất hiện chủ yếu ở mặt, nhưng lưng lại là nơi dễ tích tụ dầu và mồ hôi, đặc biệt là trong những ngày nóng bức hoặc khi bạn vận động nhiều. Điều này khiến mụn ở lưng trở thành một vấn đề không thể bỏ qua.

Định nghĩa mụn trứng cá ở lưng

Mụn trứng cá ở lưng là tình trạng viêm da do tắc nghẽn lỗ chân lông trên vùng da lưng, hình thành các nốt mụn đỏ, mụn mủ hoặc mụn bọc. Lưng là khu vực có nhiều tuyến dầu, do đó, khi tuyến dầu này hoạt động quá mức, kết hợp với tế bào da chết và vi khuẩn, dễ dẫn đến tình trạng tắc nghẽn lỗ chân lông và gây viêm. Mụn trứng cá ở lưng có thể xuất hiện ở nhiều độ tuổi và thường gặp nhất là ở thanh thiếu niên và người trưởng thành trong giai đoạn thay đổi hormone.

Vị trí của mụn trứng cá ở lưng

Mụn trứng cá có thể xuất hiện ở bất kỳ vùng nào trên lưng, nhưng những khu vực dễ bị ảnh hưởng nhất là:

  • Phần lưng trên: Vùng này thường xuyên tiết nhiều dầu và mồ hôi do sự vận động của cơ thể, nhất là trong những hoạt động thể thao.
  • Vai và xung quanh cổ: Được xem là nơi dễ bị mụn do tiếp xúc với áo quần, mồ hôi, hoặc những yếu tố gây kích ứng khác như chất liệu vải hoặc nước hoa.
  • Xung quanh phần xương sống: Đây là khu vực mà tuyến bã nhờn có xu hướng hoạt động mạnh mẽ hơn, đặc biệt trong thời kỳ tăng trưởng hoặc thay đổi nội tiết tố.

Triệu chứng của mụn trứng cá ở lưng

Các triệu chứng của mụn trứng cá ở lưng có thể thay đổi tùy thuộc vào mức độ viêm và tắc nghẽn, nhưng thường có một số dấu hiệu sau:

  • Mụn đỏ hoặc mụn mủ: Những nốt mụn này có thể xuất hiện dưới dạng các vết đỏ nhỏ hoặc nốt mụn mủ, đau khi chạm vào.
  • Mụn bọc: Một số trường hợp có thể dẫn đến mụn bọc, gây đau và sưng tấy.
  • Ngứa hoặc rát: Da bị mụn có thể cảm thấy ngứa hoặc có cảm giác rát, đặc biệt là khi da bị kích ứng do mồ hôi hoặc sự cọ xát với quần áo.
  • Lưng xuất hiện các vết thâm: Sau khi các nốt mụn lành lại, đôi khi có thể để lại vết thâm hoặc sẹo.

Các triệu chứng này có thể trở nên nghiêm trọng hơn nếu không được điều trị kịp thời, đặc biệt là khi tình trạng mụn bị viêm nhiễm hoặc tái phát liên tục.

Nguyên nhân gây mụn trứng cá ở lưng

Mụn trứng cá ở lưng có thể xuất phát từ nhiều nguyên nhân khác nhau. Những yếu tố chính dẫn đến tình trạng này bao gồm:

  • Tăng tiết bã nhờn: Khi tuyến bã nhờn hoạt động mạnh mẽ, lượng dầu thừa tiết ra có thể làm tắc nghẽn lỗ chân lông, tạo điều kiện cho vi khuẩn phát triển và gây viêm.
  • Mồ hôi: Mồ hôi khi tiếp xúc với da, đặc biệt khi vận động mạnh hoặc trong thời tiết nóng, có thể làm tắc nghẽn lỗ chân lông, từ đó gây mụn.
  • Vi khuẩn: Vi khuẩn trên da có thể dễ dàng xâm nhập vào các lỗ chân lông bị tắc nghẽn, gây viêm và hình thành mụn.
  • Hormone thay đổi: Sự thay đổi nội tiết tố, đặc biệt trong giai đoạn dậy thì, mang thai hoặc khi sử dụng thuốc tránh thai, có thể làm tăng sản xuất bã nhờn, là nguyên nhân phổ biến gây mụn.
  • Dị ứng hoặc kích ứng da: Những yếu tố như xà phòng, kem dưỡng da hoặc chất liệu vải của áo quần có thể làm kích ứng da, gây mụn ở lưng.
  • Căng thẳng: Stress cũng là một yếu tố có thể làm tăng nồng độ hormone cortisol trong cơ thể, kích thích tuyến bã nhờn hoạt động mạnh mẽ hơn.

Đối tượng dễ mắc mụn trứng cá ở lưng

Tình trạng mụn trứng cá ở lưng có thể xảy ra ở mọi lứa tuổi, nhưng một số đối tượng dễ bị ảnh hưởng hơn:

  • Thanh thiếu niên: Đây là nhóm tuổi phổ biến nhất bị mụn trứng cá do sự thay đổi hormone trong giai đoạn dậy thì.
  • Phụ nữ mang thai: Thay đổi nội tiết tố trong thai kỳ cũng là nguyên nhân khiến phụ nữ mang thai dễ gặp phải tình trạng mụn trứng cá ở lưng.
  • Người sử dụng thuốc tránh thai: Một số loại thuốc tránh thai có thể làm thay đổi hormone, dẫn đến tình trạng mụn ở lưng.
  • Người hoạt động thể thao nhiều: Những người thường xuyên tập luyện thể thao hoặc vận động mạnh dễ bị mụn do mồ hôi và sự ma sát của áo quần gây tắc nghẽn lỗ chân lông.
  • Người có da nhờn: Những người có làn da dầu hoặc nhờn có nguy cơ cao bị mụn trứng cá ở lưng, vì tuyến bã nhờn hoạt động mạnh hơn.

Biến chứng của mụn trứng cá ở lưng

Mặc dù mụn trứng cá ở lưng thường không gây nguy hiểm nghiêm trọng, nhưng nếu không được điều trị đúng cách, tình trạng này có thể dẫn đến một số biến chứng khó chịu:

  • Sẹo và vết thâm: Mụn trứng cá khi vỡ hoặc bị cọ xát mạnh có thể để lại sẹo lõm hoặc vết thâm lâu dài, ảnh hưởng đến thẩm mỹ của vùng da lưng.
  • Nhiễm trùng: Nếu mụn bị vỡ ra và không được chăm sóc đúng cách, vi khuẩn có thể xâm nhập, gây nhiễm trùng và làm tình trạng mụn trở nên nghiêm trọng hơn.
  • Mụn bọc viêm: Khi tình trạng mụn không được điều trị, mụn có thể phát triển thành mụn bọc viêm, gây đau đớn và sưng tấy, đôi khi có thể dẫn đến viêm da nặng.
  • Mụn tái phát: Nếu không kiên trì điều trị, mụn có thể tái phát liên tục, gây khó chịu và làm việc điều trị trở nên phức tạp hơn.

Chẩn đoán mụn trứng cá ở lưng

Chẩn đoán mụn trứng cá ở lưng thường không khó khăn, nhưng trong một số trường hợp, bác sĩ có thể cần phải xem xét kỹ hơn để loại trừ các vấn đề khác:

  • Khám lâm sàng: Bác sĩ sẽ kiểm tra trực tiếp vùng da bị mụn và đánh giá mức độ viêm nhiễm, số lượng mụn và hình thái của chúng.
  • Xét nghiệm hormone: Nếu mụn trứng cá ở lưng xuất hiện do sự thay đổi hormone, bác sĩ có thể yêu cầu xét nghiệm để kiểm tra mức độ hormone trong cơ thể.
  • Phân biệt với các bệnh da liễu khác: Mụn trứng cá ở lưng cần phải được phân biệt với các bệnh khác như viêm nang lông, viêm da tiếp xúc hoặc các tình trạng da khác có biểu hiện giống mụn.

Khi nào cần gặp bác sĩ về mụn trứng cá ở lưng

Mặc dù mụn trứng cá ở lưng thường có thể tự điều trị tại nhà, nhưng có những trường hợp bạn nên tìm sự hỗ trợ từ bác sĩ để ngăn ngừa các biến chứng hoặc giải quyết tình trạng mụn nghiêm trọng hơn:

  • Mụn không thuyên giảm: Nếu mụn trứng cá không có dấu hiệu cải thiện sau một thời gian tự điều trị, bạn nên gặp bác sĩ để được tư vấn phương pháp điều trị phù hợp.
  • Mụn viêm nặng: Khi mụn trở nên đau đớn, đỏ và sưng tấy, đặc biệt là mụn bọc hoặc mụn mủ, bác sĩ có thể chỉ định thuốc điều trị mạnh hơn hoặc điều trị bằng liệu pháp chuyên sâu.
  • Nhiễm trùng da: Nếu mụn bị vỡ ra hoặc có dấu hiệu nhiễm trùng (chẳng hạn như mủ xanh hoặc có mùi hôi), bạn cần gặp bác sĩ để điều trị kịp thời và ngăn ngừa tình trạng nhiễm trùng lan rộng.
  • Sẹo do mụn: Nếu mụn để lại sẹo, bác sĩ có thể khuyến cáo phương pháp điều trị sẹo hoặc lựa chọn phương pháp thẩm mỹ để cải thiện tình trạng da.

Phòng ngừa mụn trứng cá ở lưng

Mặc dù không phải lúc nào cũng có thể ngừng hoàn toàn mụn trứng cá, nhưng có một số biện pháp giúp giảm thiểu nguy cơ và ngăn ngừa tình trạng mụn tái phát:

  • Giữ da sạch sẽ: Rửa lưng thường xuyên với sữa tắm dịu nhẹ để loại bỏ dầu thừa và bụi bẩn, giúp thông thoáng lỗ chân lông.
  • Chọn quần áo thoáng mát: Mặc quần áo rộng rãi, thoáng mát, đặc biệt là khi vận động thể thao, giúp giảm sự ma sát và hạn chế tích tụ mồ hôi trên lưng.
  • Hạn chế căng thẳng: Căng thẳng có thể kích thích cơ thể sản xuất hormone cortisol, làm tăng lượng dầu tiết ra trên da. Thư giãn và duy trì tinh thần thoải mái có thể giúp cải thiện tình trạng da.
  • Chế độ ăn uống lành mạnh: Một chế độ ăn giàu vitamin A, C và E, cùng với việc hạn chế các thực phẩm nhiều dầu mỡ và đường có thể giúp cải thiện sức khỏe làn da.
  • Sử dụng các sản phẩm không gây bít tắc lỗ chân lông: Khi chọn kem dưỡng da hoặc các sản phẩm chăm sóc da, bạn nên chọn những sản phẩm không làm tắc nghẽn lỗ chân lông (non-comedogenic).

Phương pháp điều trị mụn trứng cá ở lưng

Mụn trứng cá ở lưng có thể được điều trị bằng nhiều phương pháp khác nhau, từ việc sử dụng thuốc đến các phương pháp tự nhiên và thậm chí là liệu pháp y học cổ truyền. Việc lựa chọn phương pháp điều trị phù hợp phụ thuộc vào mức độ nặng nhẹ của mụn và tình trạng sức khỏe của từng người.

Điều trị bằng thuốc

Các loại thuốc trị mụn trứng cá ở lưng chủ yếu có tác dụng làm giảm viêm, giảm tiết bã nhờn và tiêu diệt vi khuẩn gây mụn. Một số thuốc Tây y thường được bác sĩ kê đơn bao gồm:

  • Thuốc bôi chứa benzoyl peroxide: Đây là một trong những thành phần phổ biến trong các sản phẩm trị mụn. Benzoyl peroxide có khả năng tiêu diệt vi khuẩn gây mụn, giảm viêm và làm sạch lỗ chân lông. Sản phẩm có thể sử dụng ở dạng gel hoặc kem bôi, giúp giảm mụn trứng cá nhanh chóng.
  • Thuốc bôi chứa retinoids: Retinoid là một dẫn xuất của vitamin A, giúp thông thoáng lỗ chân lông, giảm viêm và ngăn ngừa mụn. Các loại thuốc bôi như tretinoin hoặc adapalene giúp da tái tạo tế bào nhanh chóng, làm giảm tình trạng mụn ở lưng.
  • Kháng sinh bôi hoặc uống: Khi mụn trứng cá ở lưng trở nên viêm nặng và có nguy cơ nhiễm trùng, bác sĩ có thể kê các loại kháng sinh như clindamycin hoặc erythromycin để tiêu diệt vi khuẩn gây mụn. Các kháng sinh này có thể được sử dụng dưới dạng kem bôi hoặc thuốc uống.
  • Thuốc uống chứa isotretinoin: Đây là một trong những loại thuốc mạnh mẽ nhất điều trị mụn trứng cá nặng và mụn bọc. Isotretinoin (thường được biết đến với tên thương mại là Accutane) giúp giảm tiết dầu thừa, đồng thời làm giảm sự phát triển của các vi khuẩn gây mụn. Tuy nhiên, thuốc này chỉ được sử dụng khi các phương pháp khác không hiệu quả và cần có sự theo dõi y tế chặt chẽ vì tác dụng phụ có thể xảy ra.

Điều trị không dùng thuốc

Ngoài việc sử dụng thuốc, điều trị mụn trứng cá ở lưng còn có thể thực hiện thông qua các biện pháp không dùng thuốc, giúp cải thiện tình trạng mụn mà không cần phải dùng đến hóa chất hay thuốc tây.

  • Giữ da sạch sẽ: Rửa lưng thường xuyên với sữa tắm có tính chất làm sạch dịu nhẹ, không gây kích ứng da. Hạn chế sử dụng các sản phẩm có chứa cồn hoặc hương liệu mạnh, vì chúng có thể làm khô da và làm tình trạng mụn trở nên tồi tệ hơn.
  • Sử dụng sản phẩm chăm sóc da không gây bít tắc lỗ chân lông: Chọn các sản phẩm dưỡng da không chứa dầu (oil-free) và có khả năng chống mụn (non-comedogenic) sẽ giúp da thông thoáng và hạn chế tình trạng mụn tái phát.
  • Tắm và thay đồ ngay sau khi tập thể dục: Mồ hôi và bụi bẩn khi vận động mạnh dễ làm tắc nghẽn lỗ chân lông, vì vậy việc tắm rửa sạch sẽ và thay quần áo sau khi vận động là rất quan trọng để giữ cho làn da luôn sạch sẽ.
  • Chế độ ăn uống lành mạnh: Việc duy trì một chế độ ăn uống cân đối, giàu vitamin và khoáng chất, đặc biệt là các loại thực phẩm giàu vitamin A, C, và E có thể giúp cải thiện tình trạng mụn. Hạn chế ăn các thực phẩm nhiều đường và dầu mỡ sẽ giảm thiểu việc tăng tiết bã nhờn.
  • Hạn chế căng thẳng: Căng thẳng và stress có thể khiến cơ thể sản xuất nhiều hormone cortisol, làm gia tăng sản xuất bã nhờn và kích thích mụn phát triển. Do đó, việc giữ tinh thần thoải mái sẽ giúp giảm thiểu tình trạng này.

Điều trị bằng y học cổ truyền

Y học cổ truyền có những phương pháp điều trị mụn trứng cá ở lưng khá hiệu quả, tập trung vào việc cân bằng cơ thể và làm mát, thanh nhiệt, giải độc.

  • Sử dụng thảo dược thanh nhiệt, giải độc: Các loại thảo dược như diệp hạ châu, mộc qua, kim ngân hoa được sử dụng phổ biến trong y học cổ truyền để giải độc, thanh nhiệt và giảm viêm. Những thảo dược này có tác dụng tiêu viêm, hỗ trợ làm lành vết thương và giảm sưng tấy trên da.
  • Châm cứu: Châm cứu là một phương pháp điều trị mụn trứng cá phổ biến trong y học cổ truyền. Phương pháp này giúp tăng cường lưu thông khí huyết, điều chỉnh sự mất cân bằng trong cơ thể, từ đó hỗ trợ làm giảm mụn hiệu quả.
  • Sử dụng mặt nạ từ thảo dược tự nhiên: Mặt nạ từ các nguyên liệu tự nhiên như mật ongbột nghệ có khả năng chống viêm, làm dịu da và giúp làm sáng da. Mặt nạ này có thể giúp giảm mụn và ngăn ngừa tình trạng tái phát.
  • Bài thuốc Đông y: Bài thuốc Đông y sử dụng các loại thảo dược như bạch linh, hoàng kỳ, sài hồ có thể được kê theo từng thể trạng và tình trạng mụn cụ thể. Các bài thuốc này giúp cải thiện nội tiết tố và cân bằng cơ thể, từ đó ngăn ngừa mụn.

Điều trị mụn trứng cá ở lưng có thể được thực hiện hiệu quả với sự kết hợp các phương pháp khác nhau, từ việc sử dụng thuốc Tây y, các biện pháp tự nhiên cho đến phương pháp điều trị từ y học cổ truyền. Mỗi phương pháp có ưu điểm và phù hợp với từng loại da và tình trạng bệnh khác nhau. Điều quan trọng là kiên trì điều trị và thực hiện đúng theo chỉ dẫn của bác sĩ hoặc chuyên gia để đảm bảo hiệu quả điều trị cao nhất.

Tình trạng mụn trứng cá ở lưng, mặc dù không gây nguy hiểm, nhưng nếu không điều trị đúng cách, có thể gây ảnh hưởng lớn đến thẩm mỹ và tâm lý của người bệnh.

Bài viết liên quan
Messenger zalo